En el ámbito de la endodoncia moderna, el abordaje endodóntico de conductos radiculares con curvaturas severas y atresias representa uno de los desafíos clínicos más relevantes.
Estos Calcified Canal Cases, caracterizados por conductos radiculares con calcificaciones (atresias) y anatomías complejas como la doble curvatura en bayoneta, incrementan significativamente el riesgo de complicaciones como transporte apical, formación de escalones, fractura instrumental y fallas en la conformación tridimensional del sistema de conductos.
Como bien se ha establecido en la literatura científica, “la complejidad anatómica del sistema de conductos radiculares constituye uno de los principales determinantes del pronóstico del tratamiento endodóntico”.
Por esta razón, el empleo de sistemas mecanizados con aleaciones termo-tratadas y diseños específicos para negociación y conformación progresiva se posiciona como una estrategia clínicamente pertinente y segura en estas anatomías desafiantes.


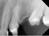
Descripción del Caso: Advanced Cases en Calcified Canal Cases
Este caso clínico se clasifica como Advanced Cases debido a su anatomía compleja: conductos con atresias y doble curvatura en bayoneta, particularmente en el conducto vestibular.
Tales configuraciones anatómicas no solo dificultan la permeabilización inicial del conducto, sino que también elevan el riesgo de transporte apical, formación de escalones y fractura instrumental durante la instrumentación.
La clave para un éxito predecible radica en un enfoque secuencial y controlado, priorizando la creación de un glide path reproducible y seguro, que actúa como prerrequisito biomecánico esencial para la posterior instrumentación rotatoria en conductos curvos.
Flujo Clínico Detallado: Clinical Workflow
El procedimiento se llevó a cabo siguiendo un protocolo estricto y progresivo, optimizado para minimizar riesgos en Calcified Canal Cases:
1. Negociación inicial y permeabilización con limas manuales (#06 a #10)
Se inició con limas manuales de calibre #06 hasta #10, empleando movimientos suaves de exploración y balance de fuerzas.
Este paso crítico tiene como objetivo principal permeabilizar el conducto y reducir el riesgo de bloqueo apical.
En conductos radiculares con curvaturas severas y atresias, esta técnica manual permite una evaluación táctil precisa de la anatomía, evitando fuerzas excesivas que podrían generar transporte apical o escalones.
La permeabilización inicial establece las bases para un acceso seguro al ápice, preservando la integridad del sistema de conductos.
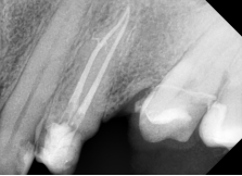
2. Glide path mecanizado con progresión controlada usando la lima 016 (R-Shaper)
Posteriormente, se procedió a la creación de un glide path reproducible mediante la lima 016 del sistema R-Shaper.
Esta lima demostró un comportamiento clínico favorable durante esta fase, permitiendo una progresión controlada incluso en el conducto vestibular con doble curvatura en bayoneta.
Las limas de níquel-titanio con tratamientos térmicos, como las del R-Shaper, exhiben mayor flexibilidad y resistencia a la fatiga cíclica en conductos curvos, lo que es coherente con la evidencia científica actual.
Este glide path mecanizado no solo facilita la negociación apical, sino que también previene complicaciones como la fractura instrumental, asegurando una transición suave hacia la conformación principal.
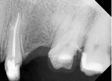
3. Conformación tridimensional segura hasta calibre 25/.04 (secuencia S2) con el sistema R-Shaper
Finalmente, se completó la conformación tridimensional utilizando la secuencia S2 del sistema R-Shaper, alcanzando una preparación apical hasta calibre 25 con conicidad 0.04.
Este sistema mecanizado, diseñado específicamente para anatomías complejas, garantiza una limpieza y modelado eficientes sin comprometer la estructura radicular.
En Calcified Canal Cases con curvaturas severas, el diseño progresivo del R-Shaper minimiza el transporte apical y optimiza la conformación del sistema de conductos, mejorando el pronóstico a largo plazo.


Consejos Clínicos Prácticos: Clinical Tips
Para maximizar el éxito en conductos radiculares con curvaturas severas y atresias, se recomiendan los siguientes tips clínicos:
- ✔ La creación de un glide path reproducible manual es el prerrequisito biomecánico esencial para la instrumentación en conductos curvos.
Este paso inicial reduce drásticamente el riesgo de fractura instrumental y asegura una preparación apical predecible. - ✔ Las aleaciones termo-tratadas garantizan una mayor flexibilidad y máxima resistencia a la fatiga cíclica en anatomías complejas.
Sistemas como el R-Shaper destacan por su capacidad para manejar Calcified Canal Cases con doble curvatura en bayoneta, ofreciendo un rendimiento superior en comparación con instrumentos convencionales.
Conclusión: Excelencia en Endodoncia Predictiva
El manejo exitoso de Calcified Canal Cases con conductos con atresias y doble curvatura en bayoneta subraya la importancia de integrar técnicas manuales precisas con sistemas mecanizados avanzados como el R-Shaper.
Este enfoque no solo mitiga los riesgos inherentes a las curvaturas severas, sino que también eleva el estándar de la conformación tridimensional segura, contribuyendo a un pronóstico endodóntico favorable.
Para profesionales endodónticos enfrentando Advanced Cases, adoptar estos protocolos representa una inversión en resultados clínicos óptimos y pacientes satisfechos.