
Dr. Néstor Salinas
(Venezuela)
En endodoncia, los casos con restauración desadaptada y sobrecarga mecánica severa representan un reto frecuente en la práctica clínica. El Dr. Néstor Salinas, de Venezuela, presenta este caso clínico intermedio donde se logró un tratamiento exitoso de necrosis pulpar y periodontitis apical sintomática mediante una secuencia precisa con el sistema Super Flexi.
Este artículo detalla la secuencia clínica completa, el diagnóstico, el reto principal y el flujo de trabajo paso a paso, destacando las decisiones técnicas que permitieron una desinfección profunda y la preservación anatómica en una pieza dental sometida a sobrecarga mecánica severa.


Secuencia Clínica del Caso
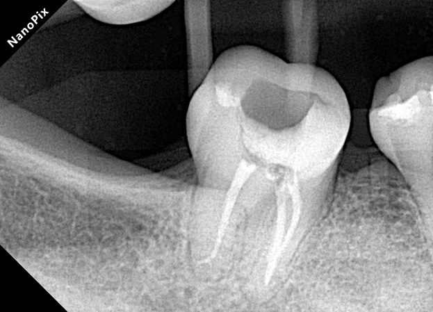
- Paciente con restauración desadaptada y sobrecarga mecánica severa por pérdida de piezas adyacentes.
- Imagen de RX asociada a periodontitis apical.
- Diagnóstico: Necrosis pulpar y periodontitis apical sintomática.
- Se logró negociación con limas K #10 mediante técnica de fuerzas balanceadas.
- Se realizó patency para mejorar la limpieza del SCR y glide path con lima 016 del sistema Súper Flexi.
- Conformación final de hasta 35/04 con el sistema Súper Flexi en todos los conductos.
Dificultad del caso: Intermediate case
Caso Básico: Anatomía y Reto Principal
Diente: Pieza con anatomía afectada por necrosis pulpar + periodontitis apical sintomática.
Reto principal:
Desinfección profunda (patency) y preservación anatómica en una pieza con sobrecarga mecánica severa.
La combinación de restauración desadaptada y pérdida de piezas adyacentes generó una sobrecarga mecánica importante, lo que exigía una instrumentación que permitiera un calibre apical amplio sin alterar la anatomía original ni debilitar excesivamente la estructura dentinaria.
Flujo de Trabajo Clínico Paso a Paso
El Dr. Néstor Salinas siguió un protocolo claro y reproducible que garantizó el control de la infección y el respeto de la anatomía radicular:
Paso 1 | Negociación
Limas K #10 con técnica de fuerzas balanceadas para alcanzar la longitud de trabajo. Esta fase inicial permitió establecer un camino seguro en conductos posiblemente calcificados o con anatomía compleja.
Paso 2 | Limpieza
Patency apical para lograr la máxima remoción de detritos. La patency fue clave para evitar el empaquetamiento de tejido necrótico y mejorar la desinfección del sistema de conductos radiculares.
Paso 3 | Glide Path
Lima 016 del sistema Súper Flexi para crear una vía de deslizamiento segura y predecible. Esta lima ofreció la flexibilidad necesaria para mantener la anatomía original durante la creación del glide path.
Paso 4 | Conformación
Instrumentación 3D hasta 35/.04 con el sistema Súper Flexi en todos los conductos. Se logró una conformación final amplia y conservadora, ideal para casos con necrosis pulpar y periodontitis apical.


Consejos Clínicos y Tips Técnicos del Dr. Néstor Salinas
✔️ Patency crítico: Vital en casos de necrosis pulpar para evitar el empaquetamiento apical y optimizar la desinfección. Realizar patency de forma sistemática mejora significativamente la limpieza del SCR y reduce el riesgo de fracaso endodóntico.
✔️ Flexibilidad del sistema Súper Flexi: Permite alcanzar un calibre apical amplio (35/.04) sin alterar la anatomía original. Esta característica es especialmente valiosa en piezas con sobrecarga mecánica severa, ya que preserva la mayor cantidad posible de dentina pericervical y radicular, manteniendo la resistencia estructural del diente.

Conclusión
Este caso clínico intermedio del Dr. Néstor Salinas demuestra cómo una secuencia ordenada —negociación con limas K #10, patency apical, glide path con lima 016 Súper Flexi y conformación hasta 35/.04— permite resolver eficazmente una necrosis pulpar y periodontitis apical sintomática en un diente con restauración desadaptada y sobrecarga mecánica severa.
La combinación de técnica de fuerzas balanceadas y las propiedades de flexibilidad del sistema Súper Flexi resultó clave para lograr desinfección profunda y preservación anatómica, ofreciendo un protocolo reproducible para casos similares en endodoncia.