In endodontics, irreversible pulpitis cases can often present unexpected challenges during canal negotiation and shaping. Yet, with the right instruments and technique, even these procedures can become remarkably predictable and efficient.
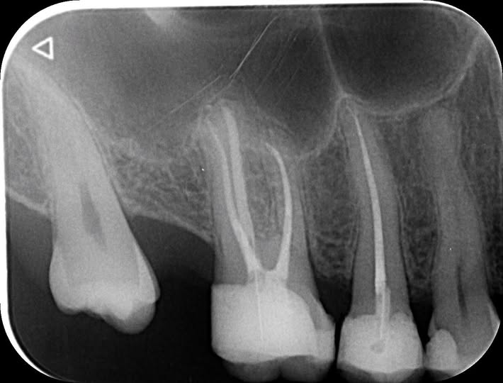
In this clinical case, Dr. Ciprian Hanus (@endobrainiac) demonstrates the treatment of tooth 2.4 using the Ino-Shaper rotary file system by Rogin. As an experienced endodontist, Dr. Hanus trusts this system for its versatility — particularly its adaptive motion technology, which allows the files to respond dynamically to the canal anatomy.
The Ino-Shaper system delivered several key advantages during the procedure:
- Smooth progression through the canal
- Controlled shaping that respects the natural anatomy
- A clean and efficient workflow that minimizes procedural stress

When complexity meets the right instrumentation, what could have been a demanding case transforms into a more straightforward and predictable treatment. The adaptive motion helps maintain consistent performance, supporting a conservative yet effective approach to cleaning and shaping.
▶️ Watch the full case to see how the Ino-Shaper system supports reliable, predictable endodontics in real time.
This case serves as a clear example of how modern rotary systems can simplify daily endodontic challenges while helping clinicians achieve consistent outcomes. For practitioners looking for a versatile file system that performs well in adaptive motion, the Ino-Shaper offers a practical solution worth exploring.