Doctor: Dr. Abdulrahman Tariq
Country: Iraq
Patient: Adult patient
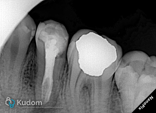
Chief Complaint:Referred for endodontic re-treatment of tooth #45.
Clinical Examination and Diagnosis:
Clinical Findings:Tooth #45 presented with an old filling and missed canals from previous treatment.
Radiographic Examination:Pre-operative radiographs revealed extreme anatomical complexity—a mandibular second premolar with 4 distinct canals and an apical split.
Diagnosis:Failed previous endodontic therapy on tooth #45 with complex unnegotiated anatomy.

Treatment Procedure:
Isolation and Access:Rubber dam isolation was strictly established. The old filling material was removed with proper access opening, followed by meticulous scouting of the missed canals.
Retreatment and Shaping:
The old gutta-percha was effectively heated and removed using the “Elite fill-p”system. Canal shaping was masterfully executed using the EZ Shaper Pro rotary file sequence (Ezx, Ez1, Ez2, Ez3, Ez4, Ez5).
Irrigation & Obturation:A comprehensive irrigation protocol was performed. The complex root canal system was three-dimensionally sealed using the modified warm vertical compaction technique.

Treatment Outcome:Post-operative radiographs demonstrated excellent cleaning, shaping, and three-dimensional obturation of all four canals. The extreme anatomical curvature and the apical split were perfectly maintained without any shaping errors.


Clinical Significance:This case highlights the efficacy and reliability of modern microscopic endodontic techniques in managing complex retreatment cases. The exceptional flexibility and tracking ability of “the EZ Shaper Pro” system successfully addressed the extreme challenges posed by the 4-canal anatomy and apical split, establishing a solid foundation for long-term tooth preservation.


