
Dr. Paola Mejia
Especialista en Endodoncia | Rogin Dental Clinical Advisor
En Rogin Dental nos apasiona compartir casos reales que demuestran la eficacia de nuestros sistemas reciprocantes de última generación. Hoy presentamos un caso clínico de endodoncia múltiple en el sector anterior superior, donde el desgaste severo por bruxismo crónico requirió un abordaje endodóntico preciso antes de la rehabilitación protésica integral.
Descripción del caso clínico
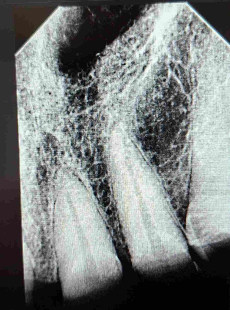
Paciente con desgaste severo del sector anterior superior asociado a bruxismo crónico, que comprometía gravemente la estructura coronaria de las piezas 11, 12, 21 y 22. Este compromiso estructural hizo necesario un tratamiento endodóntico previo como paso fundamental del plan integral de rehabilitación.


Tras la evaluación clínica y radiográfica detallada, se indicó tratamiento endodóntico en los dientes 11, 12, 21 y 22 con el objetivo de restablecer la salud del sistema de conductos radiculares y crear una base biológica sólida para la posterior rehabilitación protésica del sector anterior.
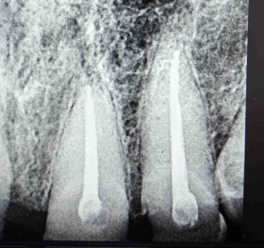
El procedimiento se realizó bajo aislamiento absoluto. Se procedió a la localización y permeabilización de los conductos radiculares. La preparación biomecánica se llevó a cabo con el sistema reciprocante Recip One File Blue de Rogin Dental, que permitió una instrumentación eficiente, controlada y segura, optimizando la limpieza y conformación del sistema de conductos.

Durante todo el protocolo se realizaron irrigaciones activas con soluciones desinfectantes, garantizando la eliminación completa de detritos y microorganismos. Finalmente, se completó la obturación tridimensional del sistema radicular, logrando un sellado hermético confirmado por control radiográfico.

Este abordaje restauró la salud periapical y la estabilidad biológica de las piezas tratadas, constituyendo el primer paso clave dentro del plan de rehabilitación integral del paciente.

Dificultad del caso
Intermediate Cases
Información básica del caso
- Dientes: #11, #12, #21, #22
- Diagnóstico: Desgaste severo asociado a bruxismo crónico
- Desafío: Endodoncia múltiple simultánea para rehabilitación integral
Flujo de trabajo clínico
- Aislamiento absoluto, localización y permeabilización de conductos
- Preparación biomecánica con Recip One File Blue (ROGIN)
- Irrigaciones activas con soluciones desinfectantes
- Obturación 3D y control radiográfico


Consejos clínicos (Tips técnicos)
✔ Instrumentación eficiente y controlada con sistema reciprocante en casos de endodoncia múltiple simultánea.
✔ El sellado hermético es el primer paso vital para cualquier rehabilitación integral exitosa.


¿Por qué elegir Recip One File Blue de Rogin Dental?
Su tecnología Blue Heat Activated ofrece flexibilidad excepcional, resistencia a la fatiga cíclica y una preparación centrada y conservadora, ideal para casos complejos de endodoncia anterior como este.