Root canal treatment in teeth with extremely long canals presents unique challenges, especially when combined with narrow anatomy and complex apical anatomy such as a lateral foramen. In this advanced case, Dr. Othman H. Alani demonstrates a highly controlled and successful approach to treating a lower left first molar with unusually long root canals reaching 27mm.
Keywords: long root canals, extreme length root canal, 27mm canal, lateral foramen, root canal treatment, INO-SHAPER BLUE, ROGIN Apex S, UltraMax Activator
Case Basic Information
- Clinician: Dr. Othman H. Alani, M.Sc. Esthetic & Restorative Dentistry
- Country: Iraq
- Patient: 51-year-old male
- Tooth: Lower Left First Molar (#36 / Tooth 19)
- Chief Complaint: Interproximal pain on the lower left side
- Diagnosis: Previously treated with Pulpotec, poor proximal contact with the second molar, and symptomatic irreversible pulpitis / apical periodontitis
- Case Difficulty: Advanced
- Main Challenges:
- Extremely long and narrow root canals (mesial canals measured at 27mm)
- Presence of a lateral foramen
- Very tiny canal orifices requiring precise negotiation and shaping
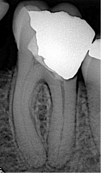
Pre-operative radiograph revealed a previous inadequate pulpotomy treatment and confirmed the unusual canal length, making this a technically demanding case.


Treatment Plan
Due to the significant canal length and narrow anatomy, the treatment plan focused on using highly flexible 31mm files to safely negotiate, shape, and clean the entire canal system while maintaining apical control and effectively disinfecting the lateral foramen.
Clinical Workflow Step by Step
1️⃣ Access Cavity Preparation
Straight-line access was achieved using the ROGIN Sx Opener. This helped create adequate access to the tiny orifices without unnecessary dentin removal, preserving tooth structure in this long-rooted molar.
2️⃣ Working Length Determination
Working lengths were precisely measured using the ROGIN Apex_S electronic apex locator.
- Mesial canals: 27mm
- Distal canal: 25.5mm
Accurate length determination was critical in this extreme-length case to avoid over-instrumentation or missing the apical terminus.
3️⃣ Canal Shaping
Canal preparation was performed using the ROGIN Elite_Ino Motor combined with 31mm INO-SHAPER BLUE files.
The exceptional flexibility and controlled memory of the INO-SHAPER BLUE files allowed smooth negotiation and shaping of the extremely long and narrow canals while respecting the original anatomy. The 31mm length provided the necessary working range for these unusually long roots.
4️⃣ Irrigation and 3D Disinfection
Final irrigation and activation were carried out using the ROGIN UltraMax Activator. This step was particularly important to ensure thorough disinfection of the main canals as well as the lateral foramen, which is often difficult to reach with mechanical instrumentation alone.
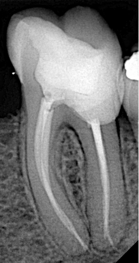
Postoperative Outcome
The procedure resulted in a well-shaped, thoroughly cleaned, and properly obturated root canal system. The patient reported complete resolution of symptoms following treatment.

Clinical Tips from Dr. Othman H. Alani
✔️ Handling Extreme Canal Lengths
In cases with canals exceeding 25mm, always choose highly flexible 31mm files such as the INO-SHAPER BLUE. Their superior flexibility allows safe navigation of long, narrow canals without transportation or ledging.
✔️ Beyond Mechanical Shaping
Mechanical preparation alone is not sufficient in complex anatomy. The ROGIN UltraMax Activator provides excellent ultrasonic activation, significantly improving cleaning and disinfection of lateral canals and foramina.
✔️ Precision and Safety
Combining the ROGIN Apex_S apex locator with the ROGIN Elite_Ino Motor offers outstanding control and apical safety, especially in challenging long-canal cases.
Conclusion
This advanced root canal treatment case proves that even molars with extremely long canals (up to 27mm) and additional complexities like a lateral foramen can be managed successfully with the right instruments and protocol.
Dr. Othman H. Alani’s meticulous approach — from precise access and length measurement to flexible shaping and activated irrigation — highlights how modern endodontic tools enable predictable outcomes in anatomically difficult cases.
Dr. Othman H. Alani
M.Sc. Esthetic & Restorative Dentistry
Iraq