Reporte de caso clínico: Desafío anatómico en premolar inferior con configuración tipo VIII

Contents

Manejo endodóntico mediante sistemas reciprocante Recip One de Rogin.

Dr. Raul Aponte Rendon

Máster en Endodoncia PhD

Ciencias de la Educación Director

Educación Docente USFQ

La anatomía del primer y segundo premolar inferior se reconoce como una de las más

variables y complejas en la práctica endodóntica. El fracaso terapéutico en estos dientes

suele estar asociado a la omisión de conductos debido a bifurcaciones en el tercio medio o apical. 

Este caso muestra cómo se trata una configuración Vertucci Clase VIII (tres onductos independientes) con limas modernas.

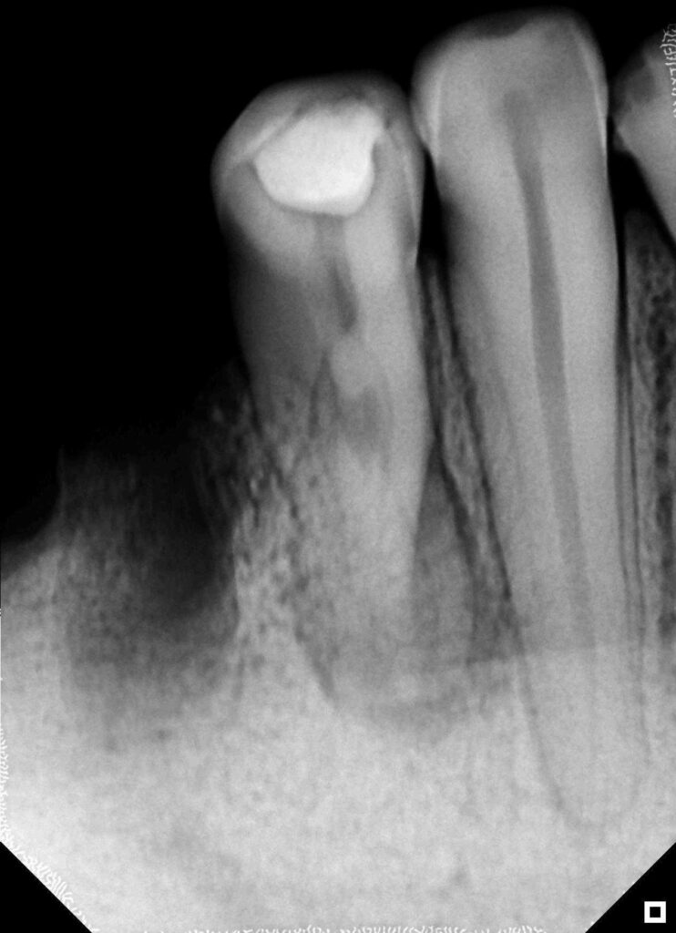
Evaluación radiográfica preoperatoria

La radiografía inicial revela una imagen sugerente de una división abrupta del conducto

principal antes del tercio medio. Se observa ensanchamiento del espacio del ligamento

periodontal e imagen radiolúcida apical, una anatomía radicular compleja que sugiere la

presencia de múltiples sistemas de conductos.

Protocolo clínico.

Acceso y localización

Se realizó un acceso de forma ovoide extendido en sentido vestíbulo-lingual para permitir la

visualización de los ángulos de divergencia. Bajo magnificación, se identificaron los orificios

de entrada: dos hacia vestibular y uno hacia lingual.

Instrumentación mecanizada (Sistema Rogin Recip One)

Se seleccionó el sistema Recip One por su resistencia a la fatiga cíclica y capacidad de corte

por su sección transversal.

1. Exploración manual Pre-flaring manual con limas K-File #10 y #15 para establecer una

vía de deslizamiento (glide path) .

2. Conformación con R25 (Tercio medio): Se utilizó la lima R25 en los tres conductos

hasta el tercio medio de los conductos, este sistema permitió una progresión rápida

gracias a su diseño de sección transversal que optimiza el espacio para la eliminación

de detritos.

3. Determinar la longitud de trabajo mediante localizador apical.

4. Conformación con R25 (tercio apical). Instrumentación hasta la longitud de trabajo,

con movimientos suaves y sin ejercer presión.

5. Conformación con R40: Ensanchamos más apicalmente para así optimizar una mejor

limpieza y desinfección del tercio apical. Al ser un tratamiento térmico blue, nos

permite trabajar predeciblemente a pesar de las curvaturas apicales.

Protocolo de irrigación

NaOCl al 5.25%: Irrigación constante entre limas.

Activación: Se realizó activación sónica de los irrigantes para asegurar la penetración

en las ramificaciones y el istmo que conecta los tres conductos.

EDTA al 17%: Para la eliminación del barro dentinario antes de la obturación.

Obturación y resultado final

Se utilizó la técnica de condensación lateral con compactación hidráulica, empleando conos

de conicidad de 6% y cemento a base de resina.

Discusión

Este caso resalta tres competencias críticas para el clínico:

1. Agudeza visual 

El signo de “la desaparición del conducto” en la radiografía preoperatoria debe alertar siempre sobre una división interna.

2. Eficiencia mecánica 

El uso de sistemas de una sola lima (Recip One) reduce el tiempo de trabajo, lo que permite dedicar más tiempo al protocolo de desinfección química, que es el verdadero éxito en estos casos.

3. Metalurgia:

 El tratamiento térmico del sistema Rogin permite negociar las curvaturas de los conductos vestibulares y linguales sin riesgo de transporte o fractura instrumental.

Picture of Timson

Timson

Rogin, a leading dental instrument manufacturer in China with over 12 years of expertise, specializes in advanced root canal files. Our commitment to innovation and precision engineering ensures superior quality instruments that empower dental professionals worldwide to deliver exceptional patient care with confidence and efficiency.

Leave a Reply

Your email address will not be published. Required fields are marked *

8 − 2 =

Ask For A Quick Quote

We will contact you within 1 working day, please pay attention to the email with the suffix “@rogindental.com”

Please leave your contact information so that we can contact you as soon as possible